Invisalign Wichita, KS
“I am thrilled with Nordhus Dentistry!”
- 300+ Google 5-Star Reviews
- Digital Scans, No Mess
- Flexible Invisalign® Financing
Start Your Journey Towards a Stunning Smile Book an appointment today.
Nordhus Dentistry is the Invisalign provider of choice for residents in the greater Wichita, KS, region. For nearly 20 years, Dr. Nordhus and his dedicated team have provided compassionate and quality dental care to patients of all ages. No one should have to compromise their self-confidence in order to receive orthodontic treatment and we are here to help.
Our patient-focused practice can help you achieve the smile you have always dreamed of with our subtle and affordable treatment plans. You can learn more about Invisalign and get started today by contacting our office:
A High-Tech Office
With Small Town Comfort
“First time back to the dentist in many years. My experience at Nordhus Dentistry has been amazing. Everyone has been so nice and considerate. It’s actually been a pleasant experience and I’m excited to be getting all of this work done.”
— John, 5-Star Review
The Benefits of Invisalign Revolutionizing Orthodontic Treatment
Greater Comfort
Traditional braces rely on metal brackets that use wire to hold teeth together. With an aligner, you can distribute gentle pressure evenly over the surface of a tooth. The resulting treatment is much more comfortable and pleasant.
Safer Treatment
Patients who play contact sports or lead particularly active lifestyles may find Invisalign to be safer than braces. The aligners lay flush along the surface of your teeth so you do not run the risk of cutting the inside of your mouth. Patients can perform at their best without worrying about potential injury.
Photo-Friendly Progress
It can be daunting to commit to years in braces, especially in our photogenic culture where photos and selfies are an omnipresent part of daily life. While traditional orthodontics can be embarrassing for teens and adults alike, Invisalign is virtually undetectable, giving you the confidence to correct a crooked smile.
Patented Excellence
Invisalign leads the clear aligner industry in terms of reliability using their patented SmartTrack material gently but effectively shifts the position of teeth. The system continues to be so popular due to its reliability and consistently successful results.
No Dietary Restrictions
While traditional braces restrict patients from eating certain sweet and sticky foods, Invisalign allows patients to undergo treatment without dietary restrictions. Patients have the freedom to remove their aligner trays while eating and continue to enjoy all their favorite foods.
How Much Does Invisalign Cost?

The cost of Invisalign is similar to the cost of traditional braces. On average, the price of treatment typically falls between $3,000 and $5,000, depending on the complexity and extent of your orthodontic issues.
However, those figures are not necessarily what you will pay out-of-pocket. Some dental insurance plans do cover parts of treatment the same as braces. Meanwhile, any remaining expenses can be easily managed with low to interest-free plans through CareCredit.
How Does Invisalign Work?
Invisalign is an advanced orthodontic treatment that uses transparent aligners to gradually shift the teeth into better alignment. The trays are custom manufactured using advanced digital technology that maps the position of your teeth in great detail. Each tray is numbered, and designed to progressively straighten the dental arches over time. Once complete, you will be given a special retainer to wear at night to maintain your results, which can last a lifetime with proper care.
Like all good things, orthodontics take time. However, with Invisalign, you do not need to feel embarrassed about your smile throughout treatment. Dr. Nordhus can help you transform your appearance and self-confidence with this discreet orthodontic system.
Teens and adults alike make great candidates for Invisalign.
Aligners Can Correct A Many Orthodontic Concerns
Gapped and Crooked Teeth
Your treatment plan is designed to reposition your teeth to eliminate any gaps in your smile. The trays will gradually shift crooked teeth into the proper position and give you a more symmetrical dental arch.
Crowded Teeth
Dental crowding is not just a cosmetic issue. When incisors, canines, and molars are packed in tightly, flossing can be difficult and lead to gum disease and tooth decay. Invisalign aligners eliminate overcrowding helping you maintain better oral health.
Overbite or Underbite
Often, the position of the jaws when they are resting is determined by the position of your molars. If you have a mid underbite or overbite, Invisalign can sometimes ease minor jaw alignment problems.

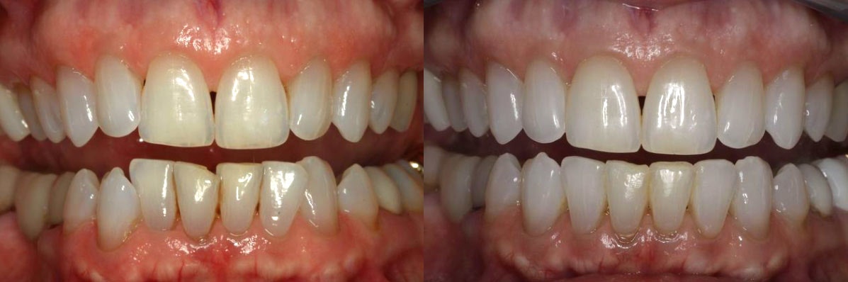
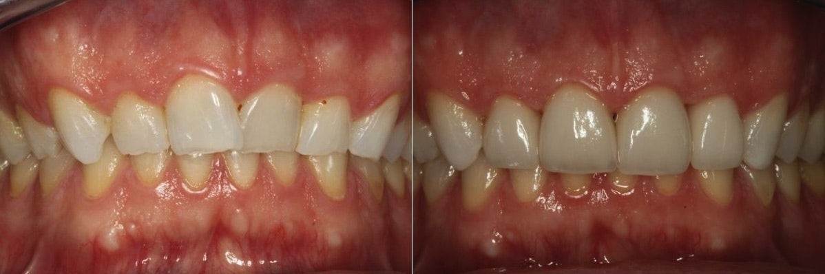
These before and after photos show a real patient of our Wichita practice who underwent Invisalign treatment. Crooked and over-crowded teeth distracted from the patient's smile. Invisalign helped shift the teeth into alignment and create symmetry.
Schedule Your Consultation Today!
Invisalign is a highly customized procedure, meaning the cost can vary significantly from one patient to the next. In order to get an accurate personal estimate, Dr. Nordhus will need to first examine your smile and design your treatment plan. Our friendly team will be happy to discuss your orthodontic options and help you coordinate a payment plan that works within your budget.
There is no downside to scheduling a free consultation at our Wichita office. If you are ready to enjoy the proven results of Invisalign, contact us online or give us a call at:
(316) 721-6730
I Have Been a Patient For 15 Years...
"Dr. Nordhus and his team are the very best in all matters concerning my dental health issues. Everyone is very caring and thorough in discussing my treatment plan as a team. All options are explained which helps me make the very best decisions for my care. Everyone is so thoughtful and kind, especially Dr. Nordhus who takes the time to follow up on his patients by doing his own personal phone calls."
Ruth, 5-Star Review
What to Expect During Invisalign Treatment
Our state-of-the-art intraoral scanner allows us to plan and execute your treatment with maximum accuracy.
Treatment Is Safe and Effective
Under the professional guidance of Dr. Nordhus, clear aligner treatments are completely safe. We highly discourage patients from using DIY or mail-order orthodontic treatments, which do not come with the benefit of oversight from a trained dentist.
Side effects are rare. Some patients may experience slight discomfort in the hours after placing a new aligner tray. To avoid unnecessary discomfort, we recommend placing new trays before bed so you can "sleep off" the feeling of oral pressure.
Overall, with proper use Invisalign is very successful and can even be safer than traditional wires and braces for patients with certain lifestyles.
Hundreds of 5-Star Reviews on Google
“Great, friendly staff! Natalie at the front desk is awesome along with all the assistants. Dr Nordhus is such a great man and truly a blessing.”
— Adrialejandro, 5-Star Review
FAQs About Invisalign in Wichita, KS
How long does Invisalign treatment take?
Most patients complete their Invisalign treatment within 6 to 18 months. The total time depends on your unique case, including how much alignment correction is needed and your commitment to wearing the trays for at least 22 hours a day.
Is Invisalign painful?
Invisalign is generally more comfortable than traditional braces. You may experience slight pressure or tightness when switching to a new set of aligners, but this feeling typically fades within a day or two. We recommend starting new trays at night to minimize discomfort.
Can I eat with my aligners in?
No, you should always remove your aligners when eating or drinking anything other than water. This helps prevent staining and damage. One of the biggest perks of Invisalign is that there are no food restrictions. Just pop your trays out and enjoy your meals.
How do I clean my aligners?
Clean your aligners daily using a soft toothbrush and lukewarm water. Avoid hot water, as it can warp the plastic.
Will insurance cover Invisalign?
Some dental insurance plans contribute toward orthodontic care, including Invisalign. Our Wichita team can check your benefits and help you explore financing options to make treatment affordable.
Have more questions about Invisalign treatment at our Wichita office?

